Effettua la Log In per votare questo ePoster
Log in

AUMENTATA DENSITA’: NON SOLO COVID-19
Poster No.
PD-10/55
Tipo
E-POSTER DIDATTICO
Sezione
Radiologia Toracica
Autori
Michela SCUTTI - CHIETI (CH), Daniele VERI , Marco MASTANDREA , Manuela MEREU , Rosa Lucia PATEA , Massimo CAULO

Obiettivi didattici:

Descrivere le diverse patologie che si presentano in TC del torace ad alta risoluzione (TCAR) con aree di iperdensità parenchimale nei pazienti con sintomi respiratori acuti.

Introduzione:

Numerose sono le cause di insufficienza respiratoria acuta (IRA), tra quelle più comuni ricordiamo l’edema polmonare e le polmoniti, meno frequente ma comunque grave è l’emorragia alveolare. Tali patologie coinvolgono frequentemente l’alveolo determinando la riduzione o la sostituzione del normale contenuto aereo con conseguente incremento dell’attenuazione dei raggi X rispetto al parenchima polmonare circostante determinando in TCAR la formazione del pattern di aumentata densità.
Il pattern di aumentata densità può essere a “vetro smerigliato” o consolidativo.
In base al glossario della Fleischner Society si definisce “vetro smerigliato” un’area di tenue aumento della densità del parenchima polmonare nel cui contesto sono riconoscibili i margini delle strutture bronchiali e vascolari; si definisce consolidazione un’area di aumentata densità nel cui contesto non sono riconoscibili né i margini delle strutture vascolari né le pareti dei bronchi.
Il numero di pazienti che giunge al Pronto Soccorso (PS) con un quadro di IRA è aumentato nel recente periodo di pandemia.
I pazienti con febbre e IRA di cui si sospetta l’eziologia virale da SARS-CoV-2, sono temporaneamente accolti in aree dedicate ed è importante identificare subito la reale causa di IRA in modo da indirizzare il paziente verso il giusto percorso clinico-terapeutico.
La TCAR è ormai un esame fondamentale se non il principale nel sospetto di COVID-19. L’identificazione del “vetro smerigliato” e della causa ad esso sottostante è un supporto importantissimo alle attività di PS.
Di seguito si illustrano le principali patologie che causano una compromissione acuta della funzionalità respiratoria e si manifestano in TCAR con aree di iperdensità parenchimale.

Descrizione:

I sintomi più comuni nei pazienti che accedono al PS con IRA sono febbre, dispnea e tosse. La febbre non è tuttavia un sintomo costante manifestandosi prevalentemente nelle patologie infettive: polmonite batterica e polmoniti virali, tra cui COVID-19, ma anche in caso di polmonite da ipersensibilità, polmonite da aspirazione e vasculiti.
Edema polmonare, polmonite eosinofila, proteinosi alveolare e riacutizzazione delle malattie interstiziali del polmone si presentano con dispnea acuta e tosse ma non con febbre.
Tutti i quadri sopramenzionati si presentano in TCAR con aree di iperdensità parenchimale e quindi la diagnosi differenziale tra le varie patologie può a volte risultare difficile ma non è impossibile.
 
COVID-19
La polmonite da SARS-CoV-2 è una polmonite virale che, al contrario delle altre che si manifestano prevalentemente in pazienti con sistema immunitario compromesso o non completamente sviluppato, colpisce i pazienti immunocompetenti.
In TCAR si caratterizza per la presenza di aree a “vetro smerigliato” diffuse in entrambi i polmoni come la maggior parte delle polmoniti virali descritte di seguito, queste aree tuttavia si contraddistinguono per la prevalente distribuzione subpleurica e per la presenza nel contesto di ispessimento liscio dei setti interlobulari (Figura 1). Versamento pleurico e linfadenopatie sono reperti più rari.
È importante sottolineare che nei casi gravi in cui le aree di aumentata densità tendono a confluire coinvolgendo tutto il parenchima polmonare, la diagnosi differenziale con altre patologie non è semplice senza un adeguato supporto clinico-laboratoristico.
 
POLMONITI VIRALI
Le polmoniti virali sono la causa più comune di infezione del tratto respiratorio negli anziani, nei bambini e nei pazienti immunocompromessi.
L’agente patogeno più comune è il virus dell’influenza e i segni e i sintomi clinici come anche i reperti di imaging variano a seconda dello stato immunitario dell’ospite. I pattern in TCAR sono molteplici: “vetro smerigliato” e consolidazione; sfumati noduli e micronoduli centrolobulari alcuni con aspetto ad “albero in fiore”; ispessimento dei setti inter ed intralobulari ed ispessimento delle pareti bronchiali (Figura 2). Ingrandimento dei linfonodi mediastinici e versamento pleurico possono essere presenti, sono invece reperti rari nella polmonite da COVID-19.
Le polmoniti virali che si manifestano con “vetro smerigliato” diffuso sono quella causate da Citomegalovirus (Figura 3), da herpes simplex virus e da virus della varicella-zoster.

POLMONITE DA PNEUMOCYSTIS JIROVECII
La polmonite da Pnemocystis Jirovecii (PJ) è un’infezione fungina opportunistica trasmessa per via aerea che si manifesta nei pazienti immunodepressi, specialmente in quelli affetti da HIV (con conta delle cellule T CD4+ < 200/microL), riceventi di trapianto d'organo, pazienti con tumori ematologici e pazienti in trattamento con corticosteroidi o altri farmaci immunosoppressori. Nei pazienti immunocompetenti lo PJ non provoca alcuna malattia.
I pazienti affetti da HIV che entrano a contatto con lo PJ in genere sviluppano un’infezione subacuta caratterizzata dalla lenta insorgenza di tosse secca e dispnea, gli altri pazienti immunodepressi al contrario manifestano un malessere acuto con IRA ed ipossia severa.
I reperti TCAR sono diversi, in genere nella fase iniziale si documenta la presenza di “vetro smerigliato” diffuso a distribuzione simmetrica che in alcuni casi mostra prevalente distribuzione perilare con risparmio delle zone sub pleuriche e predilezione per i lobi superiori. In seguito, si sovrappongono ispessimento dei setti interlobulari (“crazy paving” pattern), aree di consolidazione parenchimale, noduli e formazione di pseudocisti sub pleuriche (non sempre presenti) che possono andare incontro a rottura provocando pneumotorace spontaneo (Figure 4 e 5).
La diagnosi differenziale con la polmonite da SARS-CoV-2 non è dunque semplice, ciò che può aiutare il radiologo è la clinica (paziente immunocompetente o immunocompromesso), la distribuzione prevalentemente peri ilare delle aree di iperdensità ed i reperti associati sopradescritti.
 
POLMONITE BATTERICA
Le polmoniti batteriche sono classificate in tre gruppi principali: le polmoniti acquisite in comunità, le polmoniti da aspirazione e le polmoniti nosocomiali.
I sintomi più comuni sono febbre, brividi e tosse.
Il primo esame richiesto è la radiografia del torace che in genere è sufficiente per la diagnosi ed il monitoraggio della malattia.
Nel caso di polmonite a lenta risoluzione o nel sospetto di complicanze come, ad esempio, la formazione di ascessi o empiemi pleurici, è necessario ricorrere alla TCAR del torace (Figura 7).
In TCAR la polmonite batterica si manifesta con aree di aumentata densità con aspetto prevalentemente consolidativo ed in parte a “vetro smerigliato” con broncogramma aereo nel contesto e che mostrano distribuzione lobare o segmentaria senza predilezione dei lobi inferiori (Figura 6).
I quadri di polmonite nosocomiale sono variabili, spesso si presentano con piccole aree di consolidazione a volte associate ad escavazione e versamento pleurico.
La polmonite da aspirazione è causata dall’inalazione di materiale solido o liquido nell’albero bronchiale. In TCAR si rilevano “vetro smerigliato”, noduli centrolobulari ed atelettasia con tipica localizzazione in entrambi i lobi inferiori (Figura 8). L’aspirazione di liquidi si caratterizza per la presenza di aree a “vetro smerigliato” a distribuzione gravitazionale (Figura 9).
 
POLMONITE DA IPERSENSIBILITÀ
La polmonite da ipersensibilità (PI) o alveolite allergica estrinseca è conosciuta anche come malattia degli allevatori di uccelli o polmone del contadino a seconda della causa sottostante. È infatti una patologia dovuta all’inalazione di polveri organiche ed è divisa a seconda delle tempistiche di presentazione in acuta, subacuta e cronica o meglio, secondo le nuove linee guida, in fibrosante e non fibrosante. Ogni fase è caratterizzata da un proprio pattern alla TCAR; tuttavia, non si descriveranno le caratteristiche TC della forma fibrosante in quanto non rientrano negli obiettivi didattici di questo poster.
Nella fase acuta/subacuta non fibrosante, il paziente tipicamente si presenta con febbre, tosse, dispnea e mialgia.
In TCAR si riscontra “vetro smerigliato” diffuso che può mimare un edema polmonare o con multipli e sfumati micronoduli centrolobulari. In caso di “vetro smerigliato diffuso”, la diagnosi differenziale con il COVID-19 è difficile se non per la presenza nella PI del “three density pattern” ed aree di intrappolamento aereo nelle scansioni eseguite in espirazione (Figura 10).
 
EDEMA POLMONARE
È un accumulo anormale di liquido nei compartimenti extra vascolari del polmone e si divide in edema da aumentata pressione idrostatica (insufficienza cardiaca), edema da aumentata permeabilità con danno alveolare diffuso (ARDS) e edema da aumentata permeabilità senza danno alveolare diffuso.
I sintomi sono: dispnea, ortopnea e dispnea parossistica notturna.
Si riconoscono due fasi radiologiche e fisiopatologiche nell’edema cardiogeno: interstiziale ed alveolare.
In TCAR l’edema polmonare interstiziale si caratterizza per la presenza di ispessimento liscio dei setti interlobulari con tipica distribuzione gravitazionale, l’edema alveolare invece per la presenza di “vetro smerigliato” diffuso anch’esso con distribuzione gravitazionale per il passaggio di liquido negli alveoli che sostituisce in parte il normale contenuto aereo.
La caratteristica distribuzione gravitazionale delle alterazioni emodinamiche, la presenza di reperti associati come versamento pleurico ed ingrandimento delle camere cardiache e la clinica, permettono la diagnosi differenziale con la polmonite da SARS-CoV-2 (Figura 11).
Non dimentichiamo tuttavia che il SARS-CoV-2 in alcuni casi può coinvolgere il miocardio con conseguente sovrapposizione di edema polmonare e COVID-19.
 
PNEUMOPATIA INDOTTA DA FARMACI
È una diagnosi di esclusione che va sospettata quando un paziente sviluppa tosse e dispnea senza febbre a seguito dell’introduzione terapeutica di determinante classi di farmaci (Figura 12).
I pattern TC sono diversi a seconda del tipo di farmaco ed i più frequenti sono:
  • POLMONITE ORGANIZZATIVA.
  • POLMONITE INTERSTIZIALE NON SPECIFICA (NSIP).
  • POLMONITE DA IPESENSIBILITÀ (PI).
  • POLMONITE INTERSTIZIALE ACUTA.
  • EMORRAGIA DIFFUSA.
EMORRAGIA ALVEOLARE DIFFUSA
Disordini della coagulazione, sindrome da anticorpi antifosfolipidi, connettiviti, vasculiti, emosiderosi, inalazione di tossine o inalazione di sostanze stupefacenti, sono tutte condizioni che possono provocare il passaggio di sangue negli alveoli causando emorragia alveolare diffusa (EAD).
I segni e sintomi principali sono emottisi (non sempre presente), anemia e IRA, spesso l’esecuzione di un BAL è necessario per confermare la diagnosi.
In TCAR inizialmente si documenta “vetro smerigliato” diffuso, dopo due o tre giorni si sovrappone ispessimento liscio dei setti inter ed intralobulari (crazy paving) ed in seguito si riduce il “vetro smerigliato” e compaiono noduli centrolobulari e consolidazione. La tipica distribuzione simmetrica e peri ilare con risparmio delle zone sub pleuriche e prevalente nei lobi inferiori (Figura 13) oltre che la clinica consente di porre diagnosi differenziale con la polmonite da SARS-CoV-2.
 
ESACERBAZIONE ACUTA
L’esacerbazione acuta (EA) è tra le più gravi complicanze nei pazienti affetti da fibrosi polmonare idiopatica (FPI) costituendo una delle principali cause di morte. Si definisce come deterioramento della funzionalità respiratoria acuto e clinicamente significativo caratterizzato dalla comparsa di alterazioni alveolari diffuse e si diagnostica in base ai seguenti criteri: diagnosi precedente o concomitante di FPI; peggioramento o insorgenza acuta di dispnea tipicamente inferiore ad 1 mese di durata; comparsa di opacità a “vetro smerigliato” e/o aree di consolidazione parenchimale alla TCAR sovrapposte al pattern UIP; deterioramento respiratorio non riconducibile ed insufficienza cardiaca o edema polmonare.
La diagnosi differenziale tra EA e COVID-19 non è agevole nei pazienti con FPI specialmente nei casi più gravi in cui le alterazioni sono estese in entrambi i polmoni.
In TCAR l’EA è caratterizzata dalla comparsa di aree a “vetro smerigliato” che si sovrappongono alle alterazioni fibrotiche (Figura 14).
In letteratura sono stati descritti tre pattern principali di EA: periferico, multifocale e diffuso. Nel pattern periferico le aree di aumentata densità si riconoscono nella parte interna della zona periferica adiacenti all’honeycombing subpleurico. Il pattern multifocale è caratterizzato dalla presenza di aree di aumentata densità nelle zone centrali e periferiche, tuttavia, l’interessamento parenchimale ha estensione limitata ed interessa solo alcune zone di polmone. Nel pattern diffuso si osserva aumento della densità del parenchima polmonare esteso sia alle zone periferiche che in quelle centrali. La distinzione di questi tre pattern è clinicamente molto importante; infatti, il pattern diffuso è quello caratterizzato da una prognosi peggiore.
 
POLMONITE DA USO DI SIGARETTA ELETTRONICA
È collegata all’uso della sigaretta elettronica ed in genere si manifesta entro 90 giorni dall’esposizione. È una diagnosi di esclusione e si caratterizza in TCAR come una polmonite virale acuta con “vetro smerigliato” diffuso, bilaterale e simmetrico e si distingue dalla polmonite da COVID-19 perché risparmia le superfici sub pleuriche, non ha predominanza di zona e a volte sono presenti noduli centrolobulari ai lobi superiori.
 
POLMONITE LIPOIDEA
La polmonite lipoidea può essere acuta o cronica ed è causata da accumulo endogeno di lipidi o aspirazione di lipidi esogeni. Si caratterizza in TCAR per la presenza di “crazy paving” con prevalente distribuzione nelle zone medio-inferiori dei polmoni, aree di consolidazione che mostrano una bassa densità per la presenza di lipidi e nella fase cronica da pattern fibroso.

Conclusioni:

La polmonite interstiziale da SARS-CoV-2 non è l’unica patologia a manifestarsi con “vetro smerigliato” diffuso ed IRA. È importante che il radiologo sappia riconoscere i diversi quadri TCAR al fine di aiutare i clinici nella scelta del miglior iter diagnostico e terapeutico.

Informazioni Personali:

Note Bibliografiche:

  1. Parekh M, Donuru A, Balasubramanya R, Kapur S. Review of the Chest CT Differential Diagnosis of Ground-Glass Opacities in the COVID Era. 2020 Dec;297(3):E289-E302. doi: 10.1148/radiol.2020202504. Epub 2020 Jul 7. PMID: 32633678; PMCID: PMC7350036.
  2. Cozzi D, Cavigli E, Moroni C, et al. Ground-glass opacity (GGO): a review of the differential diagnosis in the era of COVID-19. Jpn J Radiol. 2021;39(8):721-732. doi:10.1007/s11604-021-01120-w
  3. Guarnera A, Podda P, Santini E, Paolantonio P, Laghi A. Differential diagnoses of COVID-19 pneumonia: the current challenge for the radiologist-a pictorial essay. Insights Imaging. 2021;12(1):34. Published 2021 Mar 11. doi:10.1186/s13244-021-00967-x
  4. Akira M, Kozuka T, Yamamoto S, Sakatami M. Computed tomography findings in acute exacerbation of idiopathic pulmonary fibrosis. Am J Respir Crit Care Med 2008; 178:372-378.doi: 10.1164/rccm.200709-1365OC.

image

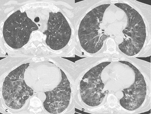
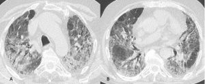
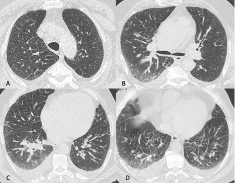
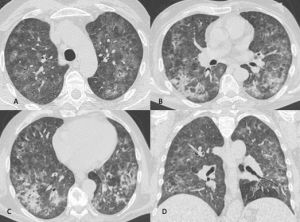
Figura 1: Uomo di 75 anni con infezione da SARS-CoV-2. Le immagini TC assiali (A-B-C-D) e ricostruzioni MPR sul piano sagittale (E) e coronale (F) mostrano la tipica presentazione della polmonite da COVID-19 caratterizzata dalla presenza di aree di aumentata densità con aspetto a “vetro smerigliato” cui si associa ispessimento liscio dei setti interlobulari che mostrano prevalente distribuzione subpleurica. La localizzazione delle aree di iperdensità in sede subpleurica è caratteristica di questa infezione come evidenziato particolarmente nell’immagine A in cui le aree a “vetro smerigliato” si dispongono lungo la scissura del lobo accessorio dell’azygos e nell’immagine E in cui è evidente la distribuzione delle alterazioni lungo le scissure.


image

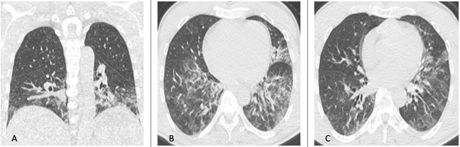
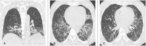
Figura 2: Uomo di 41 anni con infezione da virus dell’Influenza A, giunge al Pronto Soccorso con febbre, tosse, malessere e lieve dispnea. La TCAR eseguita all’ingresso mostra nelle scansioni assiali (A-B) e nella ricostruzione MPR coronale (C) la presenza di sfumati micronoduli centrolobulari nel lobo superiore destro e nel lobo medio e di aree di aumentata densità con aspetto in parte a "vetro smerigliato" ed in parte consolidativo nel lobo inferiore destro.


image

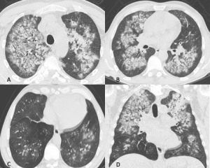
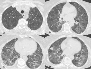
Figura 3: Uomo di 65 immunocompromesso affetto da polmonite da Citomegalovirus. Le immagini TCAR assiali (A-B-C) e la ricostruzione MPR coronale (D) mostrano il tipico pattern caratterizzato dalle presenza di "vetro smerigliato" diffuso in entrambi i polmoni con distribuzione simmetrica, si associa la presenza di alcune aree di aumentata densità con aspetto consolidativo in entrambi i lobi inferiori.


image

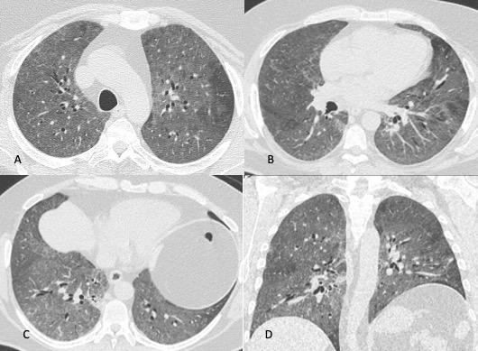
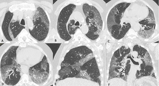
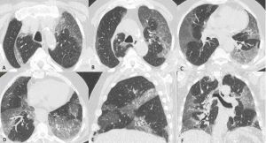
Figura 4: Donna di 78 anni con diagnosi di Linfoma di Hodgkin. Le immagini assiali (A-B-C) mostrano il parenchima polmonare normale. Un anno dopo la paziente giunge al Pronto Soccorso per un rapido peggioramento della funzionalità respiratoria, dispnea e tosse. La TCAR eseguita alcuni giorni dopo il ricovero nel reparto di Malattie Infettive (D-E-F) mostra la presenza in entrambi i polmoni di "vetro smerigliato" diffuso con relativo risparmio delle zone sub-pleuriche e la comparsa di formazioni pseudocistiche nel lobo superiore sinistro (frecce in D ed E). L’ipotesi formulata e poi confermata dal laboratorio è stata quella di polmonite da Pneumocystis Jirovecii.


image

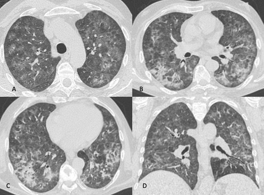
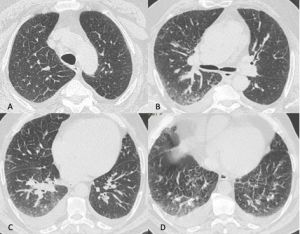
Figura 5: Uomo di 68 anni immunocompromesso giunge al Pronto Soccorso per IRA. La TCAR eseguita all’ingresso (immagini assiali A-B-C e la ricostruzione MPR sul piano coronale D) mostrano "vetro smerigliato" diffuso e simmetrico in entrambi i polmoni con relativo risparmio delle aree sub-pleuriche solo in alcune zone nel polmone. L’ipotesi diagnostica formulata è stata quella di polmonite interstiziale. Le indagini di laboratorio hanno in seguito rivelato che l’agente patogeno responsabile del quadro flogistico era lo Pneumocystis Jirovecii. La diagnosi differenziale tra le varie cause di iperdensità parenchimale nei pazienti con IRA non è semplice soprattutto quando le alterazioni sono molto estese e diffuse.


image

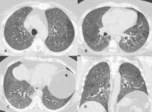
Figura 6: Donna di 73 anni giunge in Pronto Soccorso per febbre, dispnea e dolore addominale. La TCAR eseguita due giorni dopo il ricovero (immagini assiali A-B-C e ricostruzione MPR sul piano coronale D), mostra la presenza nel lobo superiore sinistro di un’area di aumentata densità con aspetto prevalentemente consolidativo ed in parte a "vetro smerigliato" con broncogramma aereo nel contesto, reperti tipici di polmonite batterica. Il BAL eseguito in seguito conferma l’ipotesi di polmonite batterica, l’agente eziologico isolato è la Legionella.


image

Figura 7: Uomo di 67 anni ricoverato per polmonite batterica confermata anche dalla radiografia del torace eseguita all’ingresso in Pronto Soccorso. In considerazione dell’aggravarsi del quadro clinico viene richiesto un approfondimento diagnostico tramite TCAR (immagini assiali A-B ed MPR coronale C ed MPR sagittale D), da cui si evidenzia la presenza nel lobo inferiore dx di un area di aumentata densità con aspetto consolidativo nel cui contesto si osservano multiple aree a densità aerea, reperti compatibili con ascesso polmonare, possibile complicazione della polmonite batterica.


image

Figura 8: Donna di 62 anni con infezione da botulino e polmonite ab-ingestis. La TCAR eseguita all’ingresso al Pronto Soccorso (MPR coronale A e immagini assiali B e C) mostra la presenza di aree di aumentata densità con aspetto in parte consolidativo ed in parte a "vetro smerigliato" in entrambi i lobi inferiori e nella lingula con la presenza di stria atelettasica nella lingula.


image

Figura 9: Uomo di 65 anni giunto al Pronto Soccorso dopo aver rischiato la morte per annegamento. La TCAR eseguita all’ingresso (immagini assiali A-B-C e ricostruzione MPR coronale D) mostra la presenza di aree di aumentata densità con aspetto a "vetro smerigliato" in entrambi i polmoni con associato ispessimento liscio dei setti interlobulari con tipica distribuzione gravitazionale.


image

Figura 10: Donna di 53 anni bracciante agricola, giunge al Pronto Soccorso per febbre, dispnea ingravescente, tosse e mialgia. La TCAR eseguita all’ingresso (A e B) mostra "vetro smerigliato" diffuso cui si associano aree di ipodensità parenchimale e aree di parenchima normale in rapporto a "three density" pattern. Le scansioni effettuate in espirazione (C e D) mostrano inoltre la presenza di aree di intrappolamento aereo. L’ipotesi diagnostica formulata (in seguito confermata) in considerazione dei reperti TC e dell’anamnesi lavorativa della paziente è stata quella di polmonite da ipersensibilità in fase acuta/subacuta non fibrosante.


image

Figura 11: Uomo di 68 anni giunge in Pronto Soccorso per grave dispnea, IRA e febbre, esegue TC TORACE all’ingresso nel sospetto di polmonite da SARS-CoV-2. La TCAR (scansioni assiali A-B-C-D) documenta ispessimento liscio dei setti interlobulari in entrambi i polmoni più evidente in sede perilare e nei lobi inferiori ove si associa la presenza di alcune aree di aumentata densità con aspetto a "vetro smerigliato" maggiori a destra. Si associa falda di versamento pleurico bilaterale. L’ipotesi diagnostica formulata ed in seguito clinicamente confermata è stata quella di alterazioni di natura emodinamica.


image

Figura 12: Donna di 70 anni affetta da tumore al polmone in trattamento con un inibitore della tirosin-chinasi. Trascorsi 15 giorni dall’inizio della terapia la paziente lamenta sempre maggiori difficoltà respiratorie e tosse. Alla TC di controllo (scansioni assiali A-B-C-D) si rileva "vetro smerigliato" diffuso in entrambi i polmoni ed ispessimento liscio di alcuni setti interlobulari. Si giunge alla diagnosi di pneumpatia indotta da farmaci dopo aver escluso le ipotesi di edema cardiogeno e di infezione polmonare.


image

Figura 13: Uomo di 45 anni giunge in Pronto Soccorso per IRA e grave anemizzazione. La TCAR eseguita all’ingresso (scansioni assiali A-B-C e ricostruzione MPR sul piano coronale D) mostra la presenza in entrambi i polmoni di multiple aree di aumentata densità con aspetto in parte a "vetro smerigliato" ed in parte consolidativo con broncogramma aereo nel contesto e distribuzione simmetrica, prevalente in sede perilare con risparmio delle zone subpleuriche. In considerazione della clinica e della distribuzione delle lesioni l’ipotesi diagnostica formulata (in seguito confermata dal BAL) è quella di emorragia alveolare diffusa.


image

Figura 14: Paziente di sesso femminile, 75 anni, con storia di interstiziopatia polmonare inquadrata come UIP probabile dal 2018. La paziente giunge al Pronto Soccorso per repentino e grave peggioramento della funzionalità respiratoria. Le immagini TCAR assiali (A-B) documentano la presenza in entrambi i polmoni di multiple aree a “vetro smerigliato” con distribuzione diffusa. Dopo aver escluso le ipotesi di edema cardiogeno e di infezione polmonare viene posta diagnosi di esacerbazione di fibrosi polmonare idiopatica.