Effettua la Log In per votare questo ePoster
Log in

La TC a doppia energia nel follow-up dell’epatocarcinoma trattato mediante termo-ablazione percutanea
Poster No.
PS-25/52
Tipo
E-POSTER SCIENTIFICO
Sezione
Radiologia Interventistica
Autori
Luca GERACI - TREVISO (TV), Luisa TOMAIUOLO , Francesco CICALÒ , Flavio SPOTO , Antonia Maria OLIVIERI , Mirko D'ONOFRIO

Scopo:

Valutare la densità della concentrazione dello iodio delle aree di epatocarcinoma epatico (HCC) focale trattato con termo-ablazione percutanea (RFA) nel follow-up tramite la Tomografia Computerizzata a Doppia Energia (DECT).

Materiali e metodi:

In questo studio prospettico preliminare, sono stati arruolati pazienti provenienti dal nostro istituto tra Settembre 2020 e Dicembre 2021 affetti da HCC trattato con RFA eco-guidata eseguendo l’esame diagnostico TC di controllo ad un mese dal trattamento.
Sono stati inclusi i pazienti le cui immagini fossero acquisite mediante protocollo TC con fase pre-contrastografica, fase arteriosa, fase venosa acquisita TBDE (Twin-Beam Dual Energy) e in fase tardiva (FIGURA 1).
E' stata adoperata sempre la stessa macchina dotata di detettori a 128 strati (TC SOMATOM Definition Edge di Siemens Healthcare, Erlangen, Germania) con una risoluzione spaziale di 0,30 mm, dotata di tecnologia Twin-Beam. L'analisi delle immagini a doppia energia è stata eseguito tramite il software syngoCT Workplace VB20 di Siemens Healthcare GmbH (Erlangen, Germania) con l’applicativo “Liver VNC Application Class” per l'analisi delle scansioni TC eseguite in fase portale TBDE. Sulle immagini VNC, un radiologo esperto ha tracciato da 3 a 6 regions of interest (ROI) per ciascuna lesione (superiore, inferiore ed in base all'estensione da 1 a 4 ROI centrali) con area di 1 cm^2, una ROI centrale più estesa che comprendesse 5 mm di parenchima epatico non-ablato tracciato sullo stesso piano della ROI centrale di 1 cm^2 (FIGURA 2-3-4-5). Nel tracciare le ROI si è posta la massima attenzione nell’evitare strutture peri-lesionali e i vasi sanguigni. Per ogni ROI tracciata è stato estrapolato il valore quantitativo della densità dello iodio in mg/dl considerando anche valori negativi (ovvero privi di impregnazione di mezzo di contrasto). Allo stesso radiologo è stato poi richiesto di compilare in cieco, una scheda qualitativa che decretasse se il trattamento effettuato fosse "completo" o "incompleto" nelle TC analizzate (TABELLA 1).
Dove possibile, è stata proposta la stessa scheda tenendo conto di esami strumentali successivi. 
E' stata poi calcolata per ogni lesione la media dei valori tra le ROI centrali, così da ottenere un valore unico per la scansione centrale; la media dei valori tra le ROI superiore, centrali ed inferiore così da ottenere un parametro volumetrico; e diverse combinazioni delle ROI tracciate (TABELLA 2).
Per l'interpretazione della scheda quantitativa, si è stabilito che le ROI con valore positivo (maggiore di 0 mg/dl) della densità dello iodio fossero interpretate come risposta al trattamento "incompleta"; mentre per valori negativi (minore o uguale a 0 mg/dl) della densità dello iodio la risposta al trattamento venisse interpretata come "completa". Inoltre, è stata stabilita l'ipotesi di considerare la risposta al trattamento “completa” con la presenza di almeno 2 valori negativi (minori o uguali a 0 mg/dl) tra le ROI in esame; e la risposta al trattamento "completa" con la presenza di valori negativi (minori o uguali a 0 mg/dl) in tutte le ROI in esame.
Dall’interpretazione dell'analisi quantitativa della densità dello iodio è stato così possibile confrontare i risultati con la scheda qualitativa delle immagini TC. Per l'analisi statistica sono stati calcolati specificità, sensibilità, accuratezza, valore predittivo positivo e valore predittivo negativo tra le diverse combinazioni tra i gruppi.

Risultati:

Lo studio preliminare ha incluso 31 pazienti che soddisfavano a pieno i criteri di inclusione. La popolazione in studio veniva composta da 83,87% maschi e 16,13% femmine, con un’età media di 73±10,6. Da 15 pazienti è stato possibile estrarre più di una lesione di HCC trattata con RFA eco-guidata (fino ad un massimo di 4 per singolo paziente), determinando un campione totale di 55 elementi. Su 44 delle lesioni, è stato possibile proporre la stessa scheda tenendo conto di esami strumentali successivi.
I risultati preliminari ottenuti hanno mostrato mediamente alta sensibilità e specificità (TABELLA 3). L'accuratezza diagnostica dell'analisi quantitativa ricavata dalle immagini TC standard al primo controllo ad un mese dal trattamento è risultata mediamente bassa: l'interpretazione del dato viene motivato dalla possibile imprecisione della centratura della lesione durante la procedura operatoria, fenomeno non approfondito nel relativo studio. Nel 71.43% degli esami a disposizione è emersa una correlazione tra densità dello iodio positiva nel trattamento apparentemente “completo” al primo follow-up (dopo un mese dalla procedura) con la comparsa di recidiva di malattia al controllo successivo.



Conclusioni:

L’utilizzo dell’analisi quantitativa ricavata dai dati della TC in Doppia Energia si pone come una metodica aggiuntiva al follow-up diagnostico-strumentale nell'identificare ripresa di malattia nell’HCC trattato con RFA, mostrando un possibile ruolo predittivo. Ulteriori studi saranno necessari per evidenziare possibile ruolo complementare della tecnica Dual Energy anche nella valutazione della persistenza di malattia al primo controllo.

Informazioni Personali:

Dipartimento di Radiologia - Ospedale G.B. Rossi AOUI Verona, Dipartimento di Diagnostica e Salute Pubblica, Università di Verona, Piazzale L.A. Scuro 10, 37134, Verona, Italia.

Note Bibliografiche:

  1. So A, Nicolaou S. Spectral Computed Tomography: Fundamental Principles and Recent Developments. Korean journal of radiology. Korean Society of Radiology; 2021;22(1):86–96. doi: 10.3348/kjr.2020.0144.
  2. Johnson TRC. Dual-energy CT: general principles. AJR American journal of roentgenology. AJR Am J Roentgenol; 2012;199(5 Suppl). doi: 10.2214/AJR.12.9116.
  3. Hounsfield GN. Computerized transverse axial scanning (tomography). 1. Description of system. The British journal of radiology. Br J Radiol; 1973;46(552):1016–1022. doi: 10.1259/0007-1285-46-552-1016.
  4. Marin D, Boll DT, Mileto A, Nelson RC. State of the art: dual-energy CT of the abdomen. Radiology. Radiology; 2014;271(2):327–342. doi: 10.1148/RADIOL.14131480.
  5. Ahmed M, Brace CL, Lee FT, Goldberg SN. Principles of and advances in percutaneous ablation. Radiology. Radiological Society of North America, Inc.; 2011;258(2):351–369. doi: 10.1148/RADIOL.10081634/ASSET/IMAGES/LARGE/081634FIG15B.JPEG.
  6. Knavel EM, Brace CL. Tumor ablation: common modalities and general practices. Techniques in vascular and interventional radiology. Tech Vasc Interv Radiol; 2013;16(4):192–200. doi: 10.1053/J.TVIR.2013.08.002.
  7. Izzo F, Granata V, Grassi R, et al. Radiofrequency Ablation and Microwave Ablation in Liver Tumors: An Update. The oncologist. Oncologist; 2019;24(10):e990–e1005. doi: 10.1634/THEONCOLOGIST.2018-0337.

image

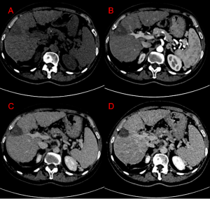
FIGURA 1. Esempio di alcune scansioni TC sul medesimo piano del protocollo adoperato per lo studio: pre-contrastografiche (A), in fase arteriosa (B), venosa (C) e tardiva (D). È inoltre possibile osservare ll'ipodensità al passaggio epatico S8-in esiti di trattamento post-ablativo.


image

FIGURA 2. Analisi VNC sul piano assiale. Sono ben visibili le 4 ROI centrali e la ROI centrale con incluso un bordo di 5mm nel parenchima epatico circostante.


image

FIGURA 3. Analisi VNC in proiezione sagittale, in cui si evince la distanza cranio-caudale tra le ROI superiore, centrali e inferiore.


image

FIGURA 4. Esempio di analisi VNC in tre diverse proiezioni: sagittale (in alto a sinistra), coronale (in alto a destra) e assiale (in basso). Ben visibili i le informazioni estratte da tutte le ROI tracciate.


image

FIGURA 5. Esempio di analisi VNC con mappa dello iodio. Sono visibili le ROI di 1 cm2 tracciate manualmente sul piano assiale con i rispettivi valori ottenuti. Rispettivamente: la ROI superiore (A), tre ROI sul piano centrale (B-C-D), la ROI inferiore (E) e la ROI centrale con incluso un bordo di parenchima di 5mm (F).


image

TABELLA 1. Per ogni area di termoablazione - segmento epatico; valore in mg/dl della mappa dello iodio della: ROI superiore, ROI centrale 1, ROI centrale 2, ROI centrale 3, ROI centrale 4, media delle 4 ROI centrali, ROI inferiore, ROI sul piano centrale comprensiva di 5 mm di parenchima epatico; giudizio qualitativo dell’esame eseguito ad 1 mese dal trattamento.


image

TABELLA 2. Per ogni area di termoablazione - segmento epatico; valore medio in mg/dl della mappa dello iodio tra: ROI superiore-inferiore-centrali; ROI superiore ed ROI inferiore; ROI superiore-inferiore-centrale comprensiva di parenchima epatico di 5 mm; ROI centrali e ROI centrale comprensiva di parenchima epatico di 5 mm; tutte le ROI (superiore-inferiore-centrali) e ROI comprensiva di parenchima epatico di 5 mm; giudizio qualitativo dell’esame eseguito ad 1 mese dal trattamento.


image

TABELLA 3. Misure diagnostiche dell’analisi quantitativa delle mappe dello iodio in relazione ai giudizi qualitativi ottenuti dalla lettura degli esami diagnostici. (VP – Veri Positivi; VN – Veri Negativi; FP – Falsi Positivi; FN – Falsi Negativi; VPP – Valore Prognostico Positivo; VPN – Valore Prognostico Negativo)