Valutare l’affidabilità e il tasso di complicanze delle agobiopsie dei noduli polmonari di piccole dimensioni eseguite mediante guida TC a fascio conico con braccio “a C”.
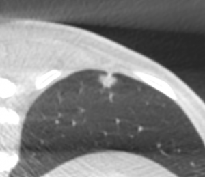
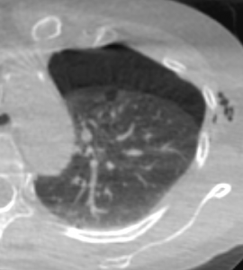
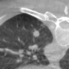
Sono stati inclusi 32 pazienti con 32 noduli polmonari inferiori ai 15 mm sottoposti ad agobiopsia percutanea mediante guida TC a fascio conico con braccio “a C” in un intervallo di 48 mesi da Gennaio 2018 a Dicembre 2021. Le procedure sono state eseguite con ago da biopsia automatico BARD MONOPTY © da 18 G. La biopsia è stata considerata diagnostica in presenza di esito istologico univoco, in assenza di necessità di ulteriori correlazioni anatomo-cliniche e/o in presenza di conferma istologica sul pezzo operatorio e/o con andamento clinico-radiologico al follow-up compatibile con l’istologia. Le complicanze principali della procedura comprendono emoftoe e PNX.
26 biopsie (81.3%) sono risultate diagnostiche. 17 (53.1%) sono risultate positive per malignità e 9 (28.1%) negative per malignità. Delle 6 biopsie non diagnostiche, 5 sono risultate lesioni maligne al follow-up e 1 paziente è stato perso al follow-up. Si sono verificati 18 PNX (56.3%) di cui 2 PNX (6.3%) con necessità di posizionamento di drenaggio toracico e 2 casi di emoftoe (6.3%) risolti con la variazione di decubito.
La TC a fascio conico é un valido supporto per l'agobiopsia percutanea di noduli polmonari di piccole dimensioni. I frustoli prelevati risultano diagnostici in un’ alta percentuale di casi con frequenza comparabile ai dati della letteratura riguardanti biopsie polmonari sotto guida TC spirale o TC a fascio conico. Il tasso di PNX è lievemente più alto che in letteratura, pur trattandosi per la maggiore di PNX di minima entità che richiedono esclusivamente il monitoraggio clinico.
Zhou Q, Dong J, He J, et al. The Society for Translational Medicine: indications and methods of percutaneous transthoracic needle biopsy for diagnosis of lung cancer. J Thorac Dis. 2018 Sep. doi: 10.21037/jtd.2018.09.28
Choi JW, Park CM, Goo JM, et al. C-arm cone-beam CT-guided percutaneous transthoracic needle biopsy of small (≤ 20 mm) lung nodules: diagnostic accuracy and complications in 161 patients. AJR Am J Roentgenol. 2012 Sep. doi: 10.2214/AJR.11.7576
Yan GW, Bhetuwal A, Yan GW,A Systematic Review and Meta-Analysis of C-Arm Cone-Beam CT-Guided Percutaneous Transthoracic Needle Biopsy of Lung Nodules. Pol J Radiol. 2017 Mar doi: 10.12659/PJR.899626.