Effettua la Log In per votare questo ePoster
Log in

Neoplasie neuroendocrine del pancreas serotonina positive: correlazione imaging – anatomia patologica
Poster No.
PS-07/24
Tipo
E-POSTER SCIENTIFICO
Sezione
Radiologia Addom. Gastroenterol.
Autori
Alice CARLI - VERONA (VR), Luca GERACI , Luisa TOMAIUOLO , Francesco CICALÒ , Valentina CORATO , Mirko D'ONOFRIO

Scopo:

Analisi delle caratteristiche radiologiche delle neoplasie neuroendocrine pancreatiche serotonina positive.

Materiali e metodi:

Sono state analizzate le immagini e/o i referti di 20 pazienti con neoplasia neuroendocrina pancreatica risultata serotonina positiva all’analisi patologica. I dati relativi alle dimensioni delle lesioni sono stati confrontati con quelli ricavati dalla letteratura.

Risultati:

Nel 90% dei casi è stato possibile visualizzare le lesioni, distribuite a livello di testa (47,3%), passaggio testa-istmo (5,3%), istmo (31,6%), corpo (10,5%), passaggio corpo-coda (5,3%), con una media delle dimensioni delle lesioni di 14,1 mm. All’ecografia le lesioni apparivano ipoecogene (91%) o isoecogene (9%); dopo mezzo di contrasto apparivano isoecogene (10%), iperecogene (60%) o con anello di enhancement periferico (30%). Alla TC le neoplasie risultavano ipodense (50%) o isodense (50%); in fase dinamica mostravano iperdensità in fase arteriosa e venosa (75%) o isodensità (25%). Alla RM le lesioni apparivano ipointense in T1 (75%), ipointense in T2 (25%), iperintense in T2 (50%) o con restrizione in diffusione (25%); dopo mezzo di contrasto mostravano isointensità (33%), ipointensità in fase arteriosa e iperintensità in fase venosa (33%) o enhancement periferico in fase arteriosa (33%). È stata riscontrata dilatazione duttale nell’86% dei casi in cui era possibile valutare questo parametro. Nel 35% dei casi è stata rilevata atrofia parenchimale.

Conclusioni:

Le caratteristiche di presentazione all’imaging delle neoplasie neuroendocrine pancreatiche serotonina positive sono tipiche per ciascuna metodica. Esse si presentano più frequentemente a livello di testa ed istmo del pancreas, presentano dimensioni esigue talvolta non rilevabili e si associano quasi sempre a dilatazione del dotto pancreatico principale.

Informazioni Personali:

Note Bibliografiche:

McCall CM, Shi C, Klein AP, Konukiewitz B, Edil BH, Ellison TA, Wolfgang 83 CL, Schulick RD, Klöppel G, Hruban R.: Serotonin expression in pancreatic neuroendocrine tumors correlates with a trabecular histologic pattern and large duct involvement. Human Pathol 2012; 43(8): 1169-1176

Nagai E, Yamaguchi K, Hashimoto H, Sakurai T.: Carcinoid tumor of the pancreas with obstructive pancreatitis. Am J Gastroenterol 1992; 87(3): 361- 364

Kim HC, Park SI, Park SJ, Shin HC, Oh MH, Kim CH, Kim TY, Kim HH, Bae WK, Kim IY: Pancreatic carcinoid tumor with obstructive pancreatitis: multislice helical CT appearance: case report. Abdom Imaging 2005; 30: 601- 604

Takaji R, Matsumoto S, Mori H, Yamada Y, Hongo N, Tanoue S, Ota M, Kitano S, Fukuzawa K.: Carcinoid tumors of the pancreas: dynamic CT and MRI features with pathological correlation. Abdom Imaging 2009; 34: 753- 758

Hamada Y, Nakayama Y, Maeshiro K, Ikeda T, Hayashi H, Iwasaki H.: Two cases of primary carcinoid tumors of the pancreas associated with marked stenosis of the main pancreatic duct. Pancreas 2009; 38: 834-835

Maurer CA, Baer HU, Dyong TH, Müller-Garamvoelgyi E, Friess H, Ruchti C, Reubi JC, Büchler MV: Carcinoid of the pancreas: clinical characteristics and morphological features. Eur J Cancer 1996; 32A(7): 1109-1116

Shi C, Siegelman SS, Kawamoto S, Wolfgang CL, Schulick RD, Maitra A, Hruban RH: Pancreatic duct stenosis secondary to small endocrine neoplasms: a manifestation of serotonin production? Radiology 2010; 257: 107-114

Walter T, Hervieu V, Adham M, Gincul R, Poncet G, Pilleul F, Chayvialle J, Partensky C, Lombard-Bohas C, Scoazec J.: Primary neuroendocrine tumors of the main pancreatic duct: a rare entity. Virchows Arch. 2011; 485: 537-546

Kawamoto S, Shi C, Hruban RH, Choti MA, Schulick RD, Fishman EK, Siegelman SS: Small serotonin-producing neuroendocrine tumor of the pancreas associated with pancreatic duct obstruction. AJR 2011; 197(3): W482-488

Ogawa M, Kawaguchi Y, Maruno A, Ito H, Nakagohri T, Hirabayashi K, Yamamuro H, Yamashita T, Mine T.: Small serotonin-positive pancreatic endocrine tumors caused obstruction of the main pancreatic duct. World J Gastroenterol 2012; 18(45): 6669-6673

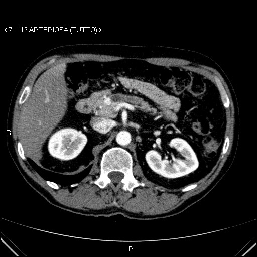
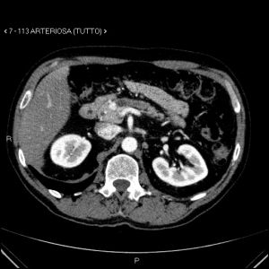
image

Aspetti TC: piccolo nodulo istmico ipervascolarizzato in fase pancreatica


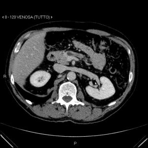
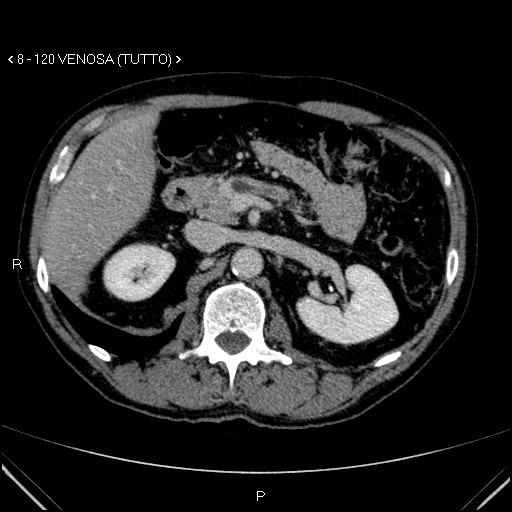
image

Aspetti TC: piccolo nodulo istmico iperdenso in fase venosa.


image

Aspetti RM: minuto nodulo della testa pancreatica ipointenso in T1.


image

Aspetti RM: piccolo nodulo dell’istmo pancreatico ipointenso in T2.


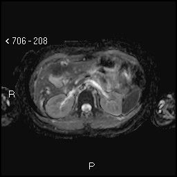
image

Aspetti RM: minuto nodulo della testa pancreatica dotato di restrizione del segnale e ipointenso nella mappa ADC


image

Lesione non visibile all’imaging. Dilatazione del dotto pancreatico principale all’esame TC con stop in regione istmica in assenza di lesioni focali.


image

Lesione non visibile all’imaging. All’esame RM dilatato il dotto pancreatico principale con stop in regione istmica in assenza di visualizzazione di lesioni focali nelle sequenze precontrastografiche.


image

Lesione non visibile all’imaging. All’esame RM dilatato il dotto pancreatico principale con stop in regione istmica in assenza di visualizzazione di lesioni focali nelle sequenze post contrastografiche.


image

Lesione non visibile all’imaging TC e RM. All’ecografia intraoperatoria si rileva millimetrica nodulazione isoecogena in regione istmica determinante stop del dotto pancreatico principale, dilatato a monte.