Effettua la Log In per votare questo ePoster
Log in

Esposizione al CVM: la nostra esperienza ventennale di sorveglianza sanitaria di angiosarcoma epatico ed epatocarcinoma
Poster No.
PS-24/45
Tipo
E-POSTER SCIENTIFICO
Sezione
Diagnostica per immagini in Oncologia
Autori
Elena COTTI - ROVIGO (RO), Gian Carlo PARENTI , Lorenzo MELLINI , Roberto GALEOTTI

Scopo:

Il Cloruro di Vinile Monomero (CVM) è un gas sintetico frequentemente impiegato nella produzione del polivinilcloruro (PVC), un materiale plastico ampiamente utilizzato.

L’esposizione occupazionale al CVM si verifica principalmente nell’industria di trasformazione e produzione del CVM/PVC [1]. Il ruolo dell’esposizione occupazionale al CVM nello sviluppo dell’angiosarcoma epatico è noto dalla metà degli anni ’70. Nel 2007 l’Agenzia Internazionale di Ricerca su Cancro (IARC) ha stabilito che l’esposizione al CVM provoca lo sviluppo sia di angiosarcoma epatico, sia del carcinoma epatocellulare (HCC) [2].

Lo sviluppo di HCC correlato ad esposizione al CVM è emerso principalmente da studi effettuati agli inizi degli anni 2000, che hanno dimostrato la correlazione tra l’incidenza di HCC e l’esposizione cumulativa al CVM [3-8].

Le esperienze di Sorveglianza Sanitaria negli ex esposti ad agenti carcinogeni sono poche e, per quel che riguarda il CVM, gli studi sugli effetti nel lungo termine in letteratura scientifica sono insufficienti.

Lo scopo di questo studio è descrivere i dati emersi dalle indagini di imaging effettuate nell'ambito della Sorveglianza Sanitaria in una coorte di lavoratori ex esposti al CVM nello stabilimento di Ravenna (attivo dal 1959 al 2000).

Materiali e metodi:

Dal 2001 è stato avviato un progetto di Sorveglianza Sanitaria epidemiologica rivolta ai lavoratori degli impianti di lavorazione del CVM di Ravenna: nel periodo 2002-2004 sono stati invitati tutti i 713 ex esposti a livelli di CVM significativi (esposizione cumulativa superiore a 735 ppm/anni, esposizione massima in un anno> 125 ppm) dipendenti dello stabilimento e delle ditte in appalto, residenti in provincia di Ravenna; di questi, 384 (54%) hanno aderito all’iniziativa sottoponendosi al protocollo di Sorveglianza Sanitaria adottato, che ha previsto un’ecografia addominale annuale ed esami ematochimici (indici di funzionalità epatica, elettroforesi delle proteine sieriche, emocromo, ferro, ferritina, colesterolo, trigliceridi, markers per l’epatite B e C).

Risultati:

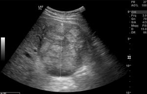
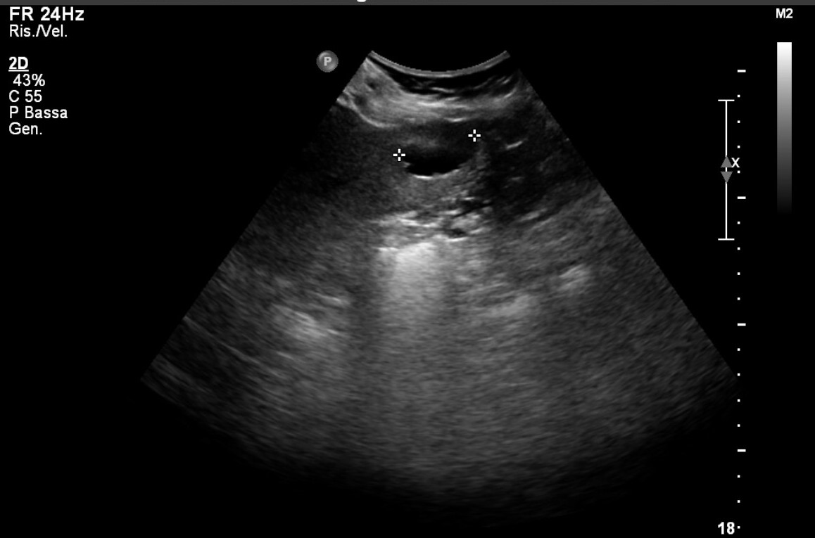
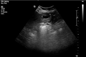
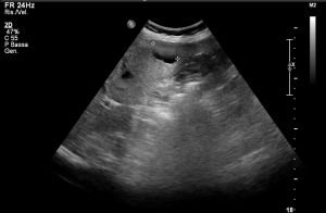
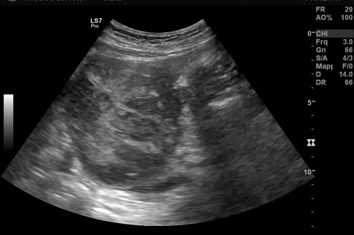
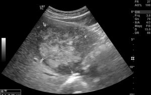
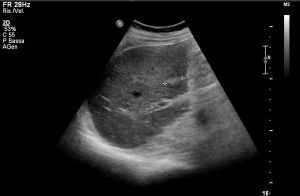
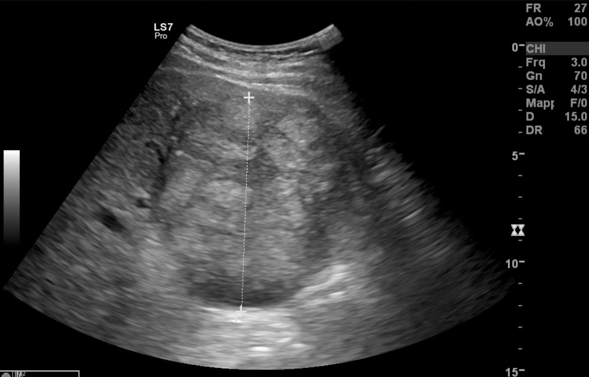
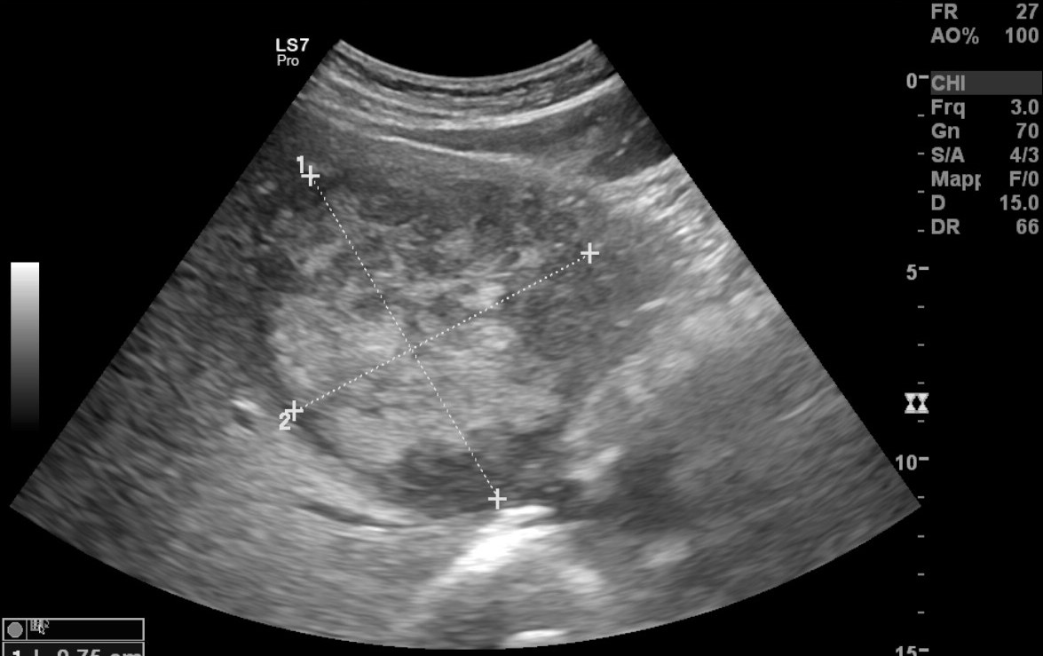
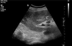
Ad oggi sono state identificate con l’ecografia addominale prevista dal protocollo, 9 neoplasie del parenchima epatico: 5 angiosarcomi (Fig. 1-4) (di cui 2 viventi) e 4 epatocarcinomi (Fig. 5-7) (di cui 1 vivente), successivamente sottoposte a studio TC e tutte confermate dalla diagnosi istologica.

Conclusioni:

I dati confermano la correlazione tra esposizione occupazionale al CVM e sviluppo di angiosarcoma epatico e carcinoma epatocellulare, come riportato in letteratura. Inoltre, l’ecografia prevista nel programma di Sorveglianza Sanitaria adottato, ha consentito l’identificazione precoce di neoplasie epatiche, assumendo un ruolo fondamentale nel follow-up di questi pazienti e permettendo un tempestivo approccio clinico-terapeutico.

Tuttavia, l’indagine ecografica non permette di effettuare la diagnosi differenziale tra HCC e angiosarcoma epatico: per la diagnosi di certezza è necessaria la conferma istologica.

Inoltre, anche se la Sorveglianza Sanitaria permette di identificare tumori in stadio precoce, non è stato dimostrato che riduca la mortalità correlata al tumore.

Informazioni Personali:

Note Bibliografiche:

  1. IARC Working Group on the Evaluation of Carcinogenic Risks to Humans. Chemical agents and related occupations. IARC Monogr Eval Carcinog Risks Hum. 2012;100:9-562.   100F.
  2. IARC Working Group on the Evaluation of Carcinogenic Risks to Humans. IARC monographs on the evaluation of carcinogenic risks to humans. Volume 97. 1,3-butadiene, ethylene oxide and vinyl halides (vinyl fluoride, vinyl chloride and vinyl bromide). IARC Monogr Eval Carcinog Risks Hum. 2008;97:3-471.
  3. Ward E, Boffetta P, Andersen A, Colin D, Comba P, Deddens JA, De Santis M, Engholm G, Hagmar L, Langard S, Lundberg I, McElvenny D, Pirastu R, Sali D, Simonato L. Update of the follow-up of mortality and cancer incidence among European workers employed in the vinyl chloride industry. Epidemiology. 2001;12:710-718. 
  4. Pirastu R, Baccini M, Biggeri A, Comba P. [Epidemiologic study of workers exposed to vinyl chloride in Porto Marghera: Mortality update]. Epidemiol Prev. 2003;27:161-172.
  5. Mastrangelo G, Fedeli U, Fadda E, Valentini F, Agnesi R, Magarotto G, Marchì T, Buda A, Pinzani M, Martines D. Increased risk of hepatocellular carcinoma and liver cirrhosis in vinyl chloride workers: Synergistic effect of occupational exposure with alcohol intake. Environ Health Perspect. 2004;112:1188-1192. 
  6. Fedeli U, Girardi P, Gardiman G, Zara D, Scoizzato L, Ballarin MN, Baccini M, Pirastu R, Comba P, Mastrangelo G. Mortality from liver angiosarcoma, hepatocellular carcinoma, and cirrhosis among vinyl chloride workers. Am J Ind Med. 2019;62:14-20. 
  7. Fedeli U, Girardi P, Mastrangelo G. Occupational exposure to vinyl chloride and liver diseases. World J Gastroenterol2019; 25(33): 4885-4891.
  8. Lotti M. Do occupational exposures to vinyl chloride cause hepatocellular carcinoma and cirrhosis? Liver Int. 2017;37:630-633. 

image

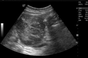
Fig.1. Caso 1 di angiosarcoma epatico


image

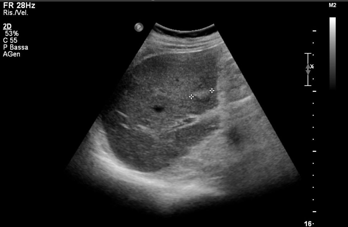
Fig.2. Caso 1 di angiosarcoma epatico


image

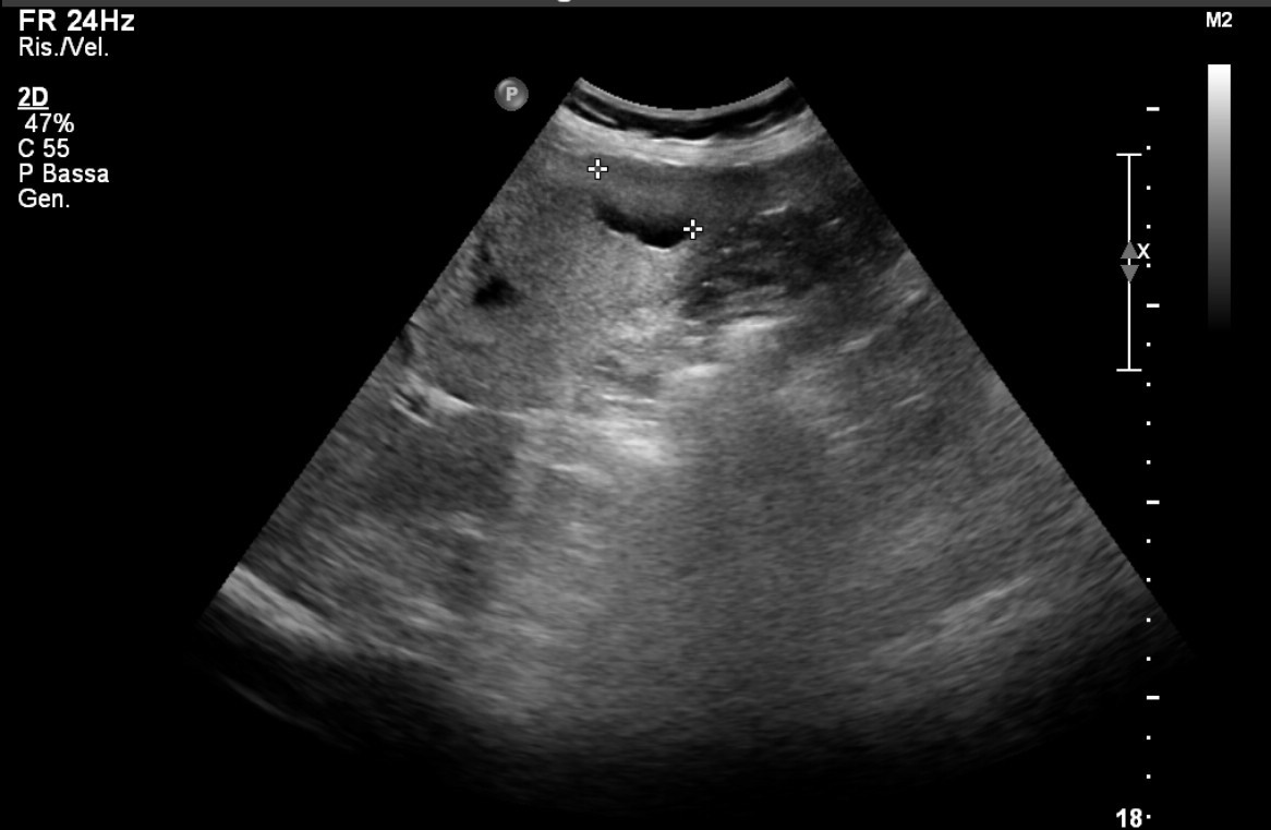
Fig.3. Caso 2 di angiosarcoma epatico


image

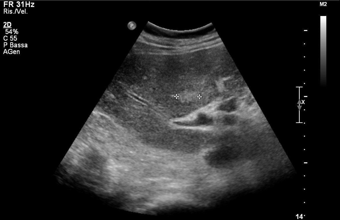
Fig.4. Caso 2 di angiosarcoma epatico


image

Fig.5. Caso di HCC


image

Fig.6. Caso di HCC


image

Fig.7. Caso di HCC